طريقة تناول البروبيوتيك—كبسولات أم مسحوق—تؤثر بشكل مختلف على الدماغ


أظهرت دراسة جديدة من جامعة أوريبرو Örebro University أن شكل تناول —سواء كبسولات أو مسحوق—يؤثر البروبيوتيك على كيفية تأثيره على الدماغ.
تم نشر الدراسة في مجلة Brain, Behavior, and Immunity Brain, Behavior, and Immunity، وتركز على إمكانيات تخصيص تناول البروبيوتيك وفق أهداف محددة، مثل تحسين الذاكرة أو دعم الصحة النفسية.
البروبيوتيك وصحة الدماغ
البروبيوتيك عبارة عن بكتيريا مفيدة تسهم في صحة الدماغ والجهاز العصبي، وعادة ما تُستهلك من خلال الطعام أو المشروبات الوظيفية. تعتمد فعالية البروبيوتيك على طريقة التحضير، إذ يؤثر ذلك على استقراره أثناء التخزين وسلوكه في الأمعاء، مما ينعكس على الدماغ.
ويمكن تشبيه المسحوق المغلف بكربونات الخبز المغلفة: الطلاء يحافظ على النشاط لفترة أطول ويمنع التفاعل المبكر مع الوسط المحيط، مما يسمح لوصول نسبة أكبر من البكتيريا المفيدة إلى أعماق الأمعاء.
تأثير شكل البروبيوتيك على الدماغ
أوضحت الباحثة جوليا رود، المتخصصة في البيوميديسين وعلاقة الأمعاء بالدماغ، أن شكل البروبيوتيك له تأثيرات مختلفة:
المسحوق المغلف: يحسن الوظائف المعرفية، مثل الذاكرة، التركيز، الانتباه، والقدرة على التوجيه.
المسحوق غير المغلف: يؤثر بشكل أكبر على الصحة النفسية، بما في ذلك المزاج، القلق والاكتئاب.
وقالت رود: “ليست هناك صيغة أفضل من الأخرى، بل يعتمد الأمر على ما يحتاج الفرد لتعزيزه. كل طريقة تحضير لها فوائدها في مواقف مختلفة.”
تفاصيل الدراسة
شارك في الدراسة 87 شخصا تتراوح أعمارهم بين 60 و80 عام٠ذا. تم إعطاء المشاركين نفس نوع البروبيوتيك بنفس الجرعة، إما مغلف أو غير مغلف، بينما تلقت مجموعة التحكم دواءً وهميًا بلا تأثير.
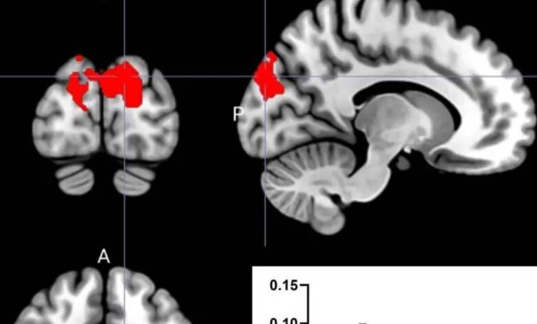
استخدم الباحثون الرنين المغناطيسي (MRI)، اختبارات وظائف الدماغ، واستبيانات لتقييم التأثيرات على الدماغ. وأظهرت النتائج اختلافات واضحة في الاتصال الوظيفي للدماغ بناءً على شكل تناول البروبيوتيك، مما يعزز فهم دور محور الأمعاء-الدماغ (Gut-Brain Axis) في الشيخوخة الصحية.
أهمية النتائج
تسهم الدراسة في فهم أفضل لكيفية استخدام البروبيوتيك لتلبية احتياجات محددة، مثل تحسين الذاكرة أو دعم الصحة النفسية خلال فترات التوتر. وقد تكون هذه النتائج خطوة مهمة نحو استراتيجيات مخصصة لتعزيز صحة الدماغ لدى كبار السن.
المصدر: النهضة نيوز



